Why did my ACL Reconstruction surgery fail?
Why might an ACL reconstruction surgery fail? While it's true that only about 10% of grafts fail, understanding the reasons is crucial. The most frequent cause is technical issues during the initial surgery. The precision required in ACL reconstruction is well-known, and surgeons with more experience tend to achieve better outcomes. Misplaced graft reconstruction tunnels, whether too posterior on the tibia or too anterior on the femur, are still common culprits for failure.
Another prevalent reason is untreated secondary instabilities. These could involve injuries to the posterolateral corner, meniscal root detachment, or the absence of the posterior horn of the medial meniscus. These factors, along with others like an unnoticed PCL injury, medial knee issues, or alignment problems in patients with arthritis, contribute to ACL reconstruction failures. Consequently, a comprehensive evaluation of secondary knee restraints and the integrity of the medial meniscus horn is crucial in planning ACL revision surgery.
While less frequent, traumatic reinjuries can also lead to ACL graft failure. In such cases, athletes experience a second knee injury resulting in graft tear. Though not as common, athletes in this situation may still benefit from ACL revision surgery for improved outcomes.
When ACL surgery goes wrong?
Absolutely, when ACL surgery encounters challenges, it's crucial to address them promptly. ACL surgery, like any medical procedure, can face technical issues. It's essential to remember that concurrent injuries that often accompany an ACL tear must be treated simultaneously. This comprehensive approach maximizes the chances of the ACL graft healing without unwanted stretching or instability. So, tackling all the issues at once ensures a smoother road to recovery.
How to know if ACL surgery gets failed?
Identifying the success of ACL surgery primarily relies on the patient's experiences and a thorough clinical examination. Surprisingly, MRI scans aren't always reliable indicators of the graft's function. Patients often report challenges like difficulty with sudden movements, pivoting, or changing direction, which can be telltale signs of a potential ACL graft issue. So, paying close attention to how your knee feels during everyday activities is key to understanding the surgery's outcome.
How to tell if your ACL graft gets failed?
Certainly, here's a succinct and related piece of content about recognizing ACL graft failure Determining ACL graft failure involves paying attention to your body. Even when the graft appears intact on an MRI, if it isn't functioning correctly, you may struggle with twisting, turning, and pivoting movements. Some patients also notice swelling during activities. So, listen to your body's signals, as they can provide valuable insights into the graft's condition.
What is the recovery time of the ACL revision surgery?
ACL revision surgery typically demands a more extended recovery period, often 50% longer than the initial ACL reconstruction. This prolonged timeline is due to the diminished blood supply in a previously reamed tunnel, which can significantly impact graft healing. In most cases, athletes can expect a recovery period of 9-12 months to fully regain strength, endurance, proprioception, and balance after revision ACL surgery.
What are the signs of ACL graft failure?
Detecting ACL graft failure involves keeping an eye out for specific indicators. These signs may encompass knee swelling, persistent pain, locking or mechanical block (often caused by meniscus tear, limited range of motion, and challenges with twisting, turning, and pivoting movements. Staying vigilant for these cues can help identify potential graft issues.
What is revision ACL reconstruction rehabilitation protocol?
When it comes to revision ACL reconstruction, a cautious approach is key to success. Patients typically start with crutches for a minimum of 4 weeks to reduce stress on the newly reconstructed ACL. Wearing an ACL brace for up to 6 months postoperatively helps protect the graft during twisting, turning, and pivoting activities. A return to jogging program may begin around the 4-month mark, contingent on the ability to perform a single-leg squat without valgus collapse. This assessment is crucial as it ensures sufficient strength before resuming jogging, reducing the risk of cartilage damage and graft strain.
What is Revision ACL bone grafting?
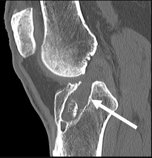
Revision ACL reconstruction often involves bone grafting to address specific tunnel issues. CT scans are crucial to evaluate the original tunnel's location and size. If tunnels are larger than 12 mm or mispositioned in a way that they intersect or overlap with each other, bone grafting becomes necessary to create a solid foundation for the reconstruction.
Why choose KNEECARES – The Superspeciality Knee Clinic for your ACL Revision Surgery?
Why opt for our clinic for ACL revision surgery? With years of dedicated research into the complexities of ligament reconstruction failures and extensive experience in revision procedures, we stand among the top institutions in the field. At our facility, we address the root causes of surgical failures, provide advanced surgical solutions, and offer comprehensive rehabilitation programs. Even in the most challenging cases, we provide hope and solutions for knee problems.
If you are searching for the best ACL surgeon in Jaipur, you need not look further than Dr. Amit Meena. With over 15+ years of experience and expertise, he has become one of the most reputed orthopedic surgeons in the city. Dr. Meena specializes in sports injuries, especially ACL injuries, which makes him the most sought-after doctor for athletes and others seeking exceptional care and treatment.
Comments