Dark gums can affect the confidence of even the brightest smiles. While gum pigmentation is usually harmless, many people feel self-conscious about the appearance of uneven or darkened gum tissue. Understanding why gums darken and how they can be safely treated can help you achieve a balanced, radiant smile. The process of Gum Depigmentation in Dubai is one of the most effective solutions for restoring pink, healthy-looking gums. If you’ve noticed darker gums and are looking for professional help, a Dental Clinic Near me can guide you through the right diagnosis and treatment options.
Causes of Dark Gums and How Treatment Works:
Dark gums, also called gingival hyperpigmentation, occur when there is excess melanin in the gum tissues. Melanin is the natural pigment responsible for the color of your skin, eyes, and gums. When certain factors stimulate melanin production, the gums can appear brown, black, or mottled.
Common causes include:
- Genetic factors: Some individuals naturally have higher melanin levels in their gums.
- Smoking: Nicotine increases melanin production, leading to darkened gums.
- Medications: Certain drugs can alter pigmentation.
- Amalgam tattoos: Metallic fillings can sometimes discolor nearby gums.
- Hormonal changes: Pregnancy or hormonal therapies may affect gum color.
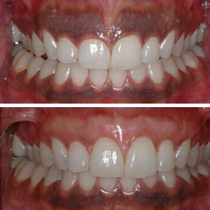
Fortunately, dark gum pigmentation can be treated effectively with gum depigmentation techniques. The treatment involves removing or lightening the top pigmented gum layer to reveal the lighter tissue underneath. Using laser technology or surgical methods, the excess melanin cells are gently eliminated, resulting in uniform, pink gums that complement your smile.
Laser treatment is the most advanced method due to its accuracy, comfort, and minimal healing time. It uses focused energy to target melanin cells without damaging surrounding tissues. The results are usually visible immediately after the procedure and can last for several years. Many Dentists in Dubai recommend laser gum depigmentation for its precision and long-term aesthetic benefits.
Importance of Treating Gum Discoloration:
The color of your gums plays a vital role in your overall smile aesthetics. Pink gums indicate health, while darker shades can make teeth appear less white and the smile less balanced. Treating gum pigmentation isn’t just about vanity—it can boost confidence and emotional well-being.
When people feel insecure about their dark gums, they may smile less often, affecting their self-esteem. Correcting gum discoloration can help restore confidence and encourage natural expressions. Healthy-looking gums also complement cosmetic dental treatments like whitening, veneers, and aligners, offering a complete smile transformation.
Additionally, addressing gum pigmentation can help distinguish between aesthetic and health-related discoloration. Sometimes, dark gums might indicate underlying issues such as poor oral hygiene or gum disease. A thorough evaluation at a Dental Clinic Near me in Dubai ensures that the cause of pigmentation is accurately identified and treated safely.
Types of Gum Depigmentation Treatments:
There are several effective approaches for lightening or removing dark gum pigmentation. Each type has its benefits depending on the severity of discoloration, patient preference, and the dentist’s recommendation.
Laser Gum Depigmentation:
This is the most modern and preferred method. A laser is used to vaporize the pigmented gum cells gently. It offers minimal discomfort, faster healing, and longer-lasting results.
Scalpel or Surgical Technique:
A traditional method in which the dentist manually removes the top layer of pigmented tissue using a scalpel. While effective, it may require slightly more recovery time than laser treatment.
Chemical Peeling Technique:
A mild chemical solution is applied to the gums to remove melanin pigmentation. It’s suitable for minor cases and produces lighter gum color after healing.
Cryosurgery:
This method uses extreme cold to destroy pigmented cells. It’s a safe and effective alternative for specific cases.
Each technique aims to achieve the same outcome—beautiful, pink gums that enhance your smile’s overall appearance. The best method for you will depend on your oral health and the dentist’s professional assessment. You can explore these treatment options during your consultation at an Dental Clinic Near me, where state-of-the-art dental care facilities are available.
Preparation and Aftercare for Gum Depigmentation:
Before treatment, the dentist conducts a detailed oral examination to ensure that your gums are healthy and suitable for the procedure. You’ll be asked about your medical history, habits, and expectations. Here’s how you can prepare:
- Practice good oral hygiene before the appointment.
- Avoid smoking or consuming alcohol at least a day prior.
- Eat light before your session.
- Follow your dentist’s pre-treatment instructions carefully.
After the treatment, proper care is essential for smooth recovery and long-lasting results. Post-treatment care includes:
- Avoiding spicy, hard, or acidic foods for several days.
- Using prescribed antiseptic mouth rinses.
- Brushing gently with a soft-bristled brush.
- Refraining from smoking during the healing phase.
- Staying hydrated and maintaining a balanced diet.
Slight tenderness or sensitivity is common for a few days, but it subsides quickly. Following the recommended aftercare routine ensures your gums heal evenly and maintain their new, healthy pink tone.
Who Is an Ideal Candidate and How to Choose a Clinic?
Not everyone with dark gums needs depigmentation, but those who feel their gum color affects their smile are great candidates. Ideal candidates are individuals who have:
- Naturally dark or spotted gums.
- Pigmentation caused by smoking or genetics.
- Healthy gums free from infection or periodontal disease.
- Realistic expectations regarding the results.
Choosing the right clinic is key to achieving safe and satisfying results. When selecting a dental clinic, consider:
- The experience and qualifications of the dental team.
- Availability of advanced equipment like dental lasers.
- Clean, hygienic, and comfortable treatment environment.
- Positive patient testimonials and before-after results.
Scheduling a consultation allows you to discuss your concerns, understand the procedure, and clarify any doubts with the dentist before proceeding.
Risks and Benefits of Gum Depigmentation:
Gum depigmentation is generally safe and minimally invasive, but as with any procedure, it carries minor risks. Potential side effects may include mild gum sensitivity, redness, or temporary swelling. These usually resolve within a few days. Serious complications are rare, especially when performed by an experienced professional.
The benefits of gum depigmentation, however, are substantial:
- Restores natural, pink gum appearance.
- Improves smile aesthetics and confidence.
- Provides long-lasting results with minimal discomfort.
- Enhances overall oral and facial harmony.
- Boosts emotional well-being by allowing free, confident smiles.
With today’s laser techniques, patients can expect fast healing and a noticeable transformation after just one session.
Frequently Asked Questions (FAQs):
1. Is gum depigmentation painful?
No, the procedure is usually painless due to the use of local anesthesia. Mild discomfort may occur afterward but is temporary.
2. How long do the results last?
Results often last for many years, though minor pigmentation may return depending on lifestyle habits or genetics.
3. How long does recovery take?
Most people heal within 5–7 days, depending on the treatment type.
4. Can dark gums come back?
Yes, in rare cases, pigmentation may gradually return, especially for smokers. Touch-up treatments can help maintain results.
5. Is gum depigmentation safe for everyone?
It’s safe for most people with healthy gums. A professional consultation ensures it’s right for you.
6. Can I combine gum depigmentation with other dental procedures?
Yes, it can be combined with cosmetic treatments like teeth whitening or veneers for a complete smile makeover.
7. What makes laser gum depigmentation different?
Laser treatment offers precision, faster healing, and minimal discomfort compared to traditional surgical techniques.
Conclusion:
In conclusion, dark gums are a common aesthetic concern caused by melanin buildup, genetics, smoking, or certain medications. Fortunately, Gum Depigmentation provides an effective and lasting solution to restore natural pink gums and improve your smile’s beauty. Modern dental techniques like laser treatment ensure comfort, precision, and fast healing.
If you’re experiencing gum discoloration and want to achieve a brighter, healthier smile, visiting a Dental Clinic Near me is the perfect first step. The right dental professionals can help you understand your options, provide personalized care, and guide you toward achieving the confident, radiant smile you deserve.

 
								 
								 
								 
                            
Comments