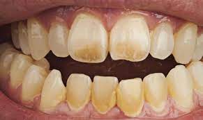
If your daily coffee habit has left your smile less than sparkling, you’re not alone. How can I get rid of coffee stains on my teeth? This is one of the most common oral care concerns for coffee lovers. Over time, the dark pigments in coffee, called tannins, bind to enamel and cause discoloration. These Dental Stain Removal in Dubai can be stubborn, but with the right techniques—both at home and through professional methods—you can restore a brighter, more confident smile. In this guide, you’ll discover how these stains form, the most effective ways to remove them, and essential aftercare tips to keep them from returning.
What is the treatment and how it works?
The process of getting rid of coffee stains on teeth involves removing the pigmented layer that clings to the enamel. Coffee stains are typically extrinsic (surface-level) discolorations, which makes them easier to target than intrinsic stains that occur inside the tooth.
Common techniques include:
- Professional scaling and polishing to remove plaque, tartar, and stain buildup
- Air polishing using water, air, and a fine powder to gently clean enamel
- Whitening treatments to lift deeper pigments after surface cleaning
- At-home whitening toothpaste or strips for ongoing maintenance
These treatments work by either physically removing the stain particles or using whitening agents to break them down at a molecular level.
Importance of removing coffee stains:
Keeping teeth free from coffee stains isn’t just about aesthetics. There are several important reasons to take action:
- Stains can trap bacteria, leading to bad breath and gum issues
- A brighter smile boosts self-confidence and improves first impressions
- Regular stain removal prevents deeper discoloration that’s harder to treat later
- Smooth, polished enamel is more resistant to new stains
For coffee drinkers, addressing discoloration early helps maintain the natural look of teeth and overall oral freshness.
Types of treatments for coffee stains:
There’s no single best method—how you remove coffee stains from your teeth depends on the severity of discoloration and personal preference.
Professional cleaning
Removes hardened deposits and stains using ultrasonic tools, hand instruments, and polishing pastes.
Air polishing
A gentler option that lifts stains with a pressurized mixture of water, air, and fine powder.
Whitening procedures
May be done in-office or at home to further brighten enamel after cleaning.
Home-based options
Include whitening toothpaste, baking soda brushing, or whitening strips, though results are generally slower.
Preparation before treatment:
Before starting any coffee stain removal procedure, a little preparation helps achieve better results:
- Brush and floss to remove surface debris
- Avoid dark-colored foods or drinks 24 hours before treatment
- Stay hydrated to keep your mouth comfortable during the procedure
- Share any history of tooth sensitivity so adjustments can be made
Aftercare and maintenance:
Once coffee stains are removed, maintaining results requires consistent oral care and mindful habits:
- Brush twice a day with a low-abrasive whitening toothpaste
- Rinse with water after drinking coffee or use a straw to limit contact with teeth
- Floss daily to remove plaque between teeth
- Schedule regular professional cleanings to prevent buildup
- Limit other stain-causing drinks like tea, red wine, and cola
Ideal candidate for coffee stain removal:
Most coffee drinkers with surface-level stains are good candidates. You may benefit from treatment if you:
- Notice yellow or brown discoloration after years of coffee drinking
- Have plaque buildup contributing to staining
- Want an effective, safe way to improve tooth brightness without harsh abrasives
- Do not have untreated cavities or gum infections before the procedure
How to choose the right place for treatment?
Finding the right provider for coffee stain removal from teeth ensures you get safe, lasting results:
- Look for modern cleaning technology like ultrasonic and air polishing
- Ensure hygiene and infection control standards are visibly followed
- Ask about available aftercare advice and maintenance plans
- Choose a location that explains your options clearly
Risks and considerations:
While Dental Stain Removal is generally safe, there are some minor considerations:
- Temporary tooth sensitivity may occur, especially with whitening agents
- Gums may feel tender after heavy tartar and stain removal
- Deep intrinsic stains might need more advanced whitening
- Overuse of abrasive toothpastes can wear enamel over time
Benefits of removing coffee stains:
There are both visual and health advantages to coffee stain removal:
- Immediate improvement in tooth brightness
- Fresher breath by eliminating bacteria-friendly rough surfaces
- Reduced likelihood of gum issues from plaque buildup
- More confident and radiant smile
Frequently asked questions:
Can I prevent coffee stains completely?
You can reduce them by rinsing after coffee, using a straw, and maintaining regular cleanings.
Will whitening toothpaste alone work?
It can help with mild stains but won’t replace professional cleaning for heavier discoloration.
Is the process painful?
Most people find it comfortable, with only mild sensitivity possible.
How often should I get treatments?
It depends on your coffee intake and oral hygiene, but regular maintenance is key.
Can coffee stains damage my teeth?
The stains themselves don’t harm enamel, but the buildup that holds them can contribute to oral health problems.
Conclusion:
If you’ve been wondering, how can I get rid of coffee stains on my teeth, the answer lies in a combination of professional care and good daily habits. By targeting surface stains through cleaning, polishing, or whitening—and preventing them with mindful coffee consumption—you can keep your smile bright and healthy. Long-term results depend on consistent maintenance and limiting stain-causing habits. With the right approach, how can I get rid of coffee stains on my teeth becomes a question with a simple, achievable answer: take action today, and enjoy a fresher, more confident smile tomorrow.

Comments