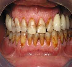
A bright smile can have a powerful impact on confidence, yet many people struggle with yellow or discolored teeth caused by food, drinks, smoking, or aging. One common question asked is, Can Stain Removal Whiten Teeth? While stain removal and whitening are not the same treatment, professional cleaning methods can dramatically improve the appearance of teeth by eliminating surface discoloration. For individuals searching for a Dental Clinic Near me, understanding the role of stain removal is an important step toward achieving a healthier and brighter smile.
What Is the Treatment and How It Works?
Dental Stain Removal In Dubai is a professional procedure designed to clear surface discoloration without chemically altering the natural tooth shade. Unlike whitening, which uses bleaching agents to lighten enamel, stain removal focuses on removing buildup caused by substances like coffee, tea, wine, or tobacco. Dentists typically use tools such as ultrasonic scalers, polishing pastes, or air polishing devices. Patients often notice that their teeth appear visibly brighter and cleaner after a single session. For those considering a Dental Clinic Near me in Dubai, modern stain removal treatments provide quick and safe results.
Importance of the Treatment:
The importance of Dental Stain Removal extends beyond aesthetics. Stains can trap bacteria and plaque, which contribute to bad breath, gum problems, and cavities. Removing stains not only improves appearance but also supports better oral hygiene. Patients often ask, Can Stain Removal Whiten Teeth?, because the results are similar to whitening in terms of visual improvement. The treatment delivers a refreshed, polished look while making daily brushing more effective.
Types of Treatment:
There are several methods of Dental Stain Removal, each producing slightly different results:
- Scaling and Polishing: Traditional cleaning to remove tartar and surface stains.
- Air Polishing: A mix of air, water, and fine powder to gently lift discoloration.
- Ultrasonic Cleaning: Vibrations break down stubborn stains and plaque.
- Mild Abrasive Polishing Pastes: Smooth and brighten teeth during professional cleaning.
- Laser-Assisted Cleaning: Advanced method that targets deeper stains more precisely.
Preparation Before the Procedure:
To maximize the results of Dental Stain Removal, patients can prepare by:
- Brushing and flossing before the appointment.
- Informing the dentist about tooth sensitivity.
- Avoiding stain-causing foods and beverages a day prior.
- Allowing for a quick oral exam to check tooth and gum condition.
Preparation ensures treatment is effective, safe, and efficient.
Aftercare and Maintenance:
Following the procedure, aftercare is vital for maintaining results:
- Brush with fluoride toothpaste twice a day.
- Floss daily to remove plaque between teeth.
- Rinse your mouth after consuming staining foods.
- Limit dark drinks like coffee, tea, or red wine.
- Attend regular follow-up cleanings every six months.
Ideal Candidate for Dental Stain Removal:
The treatment is suitable for most patients but is especially effective for:
- Adults with surface stains from food or drinks.
- Individuals with tobacco-related discoloration.
- People with age-related yellowing of teeth.
- Patients looking to refresh their smile before an event.
Gentle methods may also be recommended for children and teens with mild staining.
How to Choose the Right Clinic?
Selecting the right clinic is crucial for safe and effective Dental Stain Removal:
- Look for clinics with advanced stain removal equipment.
- Ensure the dental team specializes in preventive and cosmetic care.
- Read reviews to understand patient satisfaction.
- Confirm strict hygiene protocols are followed.
- Ask for aftercare advice tailored to your needs.
Many in the UAE choose skilled Dentists in Dubai or specialized centers such as Enfield Dental Clinic in Dubai, where professional stain removal is commonly practiced.
Risks of the Treatment:
Though generally safe, some minor side effects may occur:
- Temporary tooth sensitivity.
- Mild gum irritation after cleaning.
- Slight enamel wear if overdone.
These effects are temporary and rare when the procedure is performed professionally.
Benefits of the Treatment:
The benefits of Dental Stain Removal are both cosmetic and health-related:
- Restores natural brightness to the smile.
- Improves confidence and appearance.
- Reduces risk of gum disease and cavities.
- Fresher breath and cleaner teeth.
- Immediate results with no recovery time.
For those asking, Can Stain Removal Whiten Teeth?, the answer is that while it does not bleach enamel, the procedure makes teeth appear significantly brighter by eliminating stains.
Frequently Asked Questions:
Can stain removal make my teeth look whiter?
Yes, by removing surface stains, teeth look visibly brighter, even though the natural shade is not changed.
How often should I get stain removal done?
Most patients benefit from treatment once or twice a year, depending on lifestyle.
Does the procedure hurt?
The process is painless, with only minor sensitivity possible afterward.
Is stain removal the same as whitening?
No, whitening changes enamel color, while stain removal cleans existing discoloration.
Can children undergo stain removal?
Yes, but with gentler methods designed for younger patients.
Conclusion:
For anyone asking, Can Stain Removal Whiten Teeth?, the answer is clear: while stain removal does not chemically whiten enamel, it can make teeth appear whiter by removing surface discoloration and restoring natural brightness. The procedure is safe, fast, and effective, offering both cosmetic and health benefits. With the right clinic, proper preparation, and good aftercare, results can last longer and improve overall oral hygiene. Whether visiting a Dental Clinic Near me or exploring the services of professional Dentists in Dubai, patients can achieve a brighter and healthier smile. Ultimately, Can Stain Removal Whiten Teeth? is not just about whitening but about restoring confidence, health, and freshness to your smile.
Comments