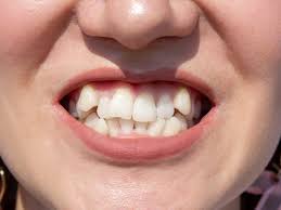
يمكن أن تؤثر الأسنان المتداخلة، والمعروفة أيضًا باسم ازدحام الأسنان، على مظهر ابتسامتك ووظيفتها. تتوفر في دبي العديد من العلاجات الفعالة لتصحيح تداخل الأسنان، كل منها مصمم خصيصًا لتلبية الاحتياجات والتفضيلات الفردية.
فهم الأسنان المتداخلة:علاج تداخل الأسنان في دبي عندما لا يكون هناك مساحة كافية في الفك لمحاذاة جميع الأسنان بشكل صحيح. يمكن أن يؤدي ذلك إلى أسنان ملتوية أو مدورة أو متداخلة مع بعضها البعض. إلى جانب المخاوف الجمالية، يمكن للأسنان المتداخلة أن تجعل نظافة الفم المناسبة أمرًا صعبًا، مما يزيد من خطر تسوس الأسنان وأمراض اللثة.
الأقواس التقليدية:
تظل الأقواس التقليدية وسيلة فعالة للغاية لتصحيح الأسنان المتداخلة. وهي تتكون من أقواس معدنية مثبتة على الأسنان ومتصلة بالأسلاك. يطبق التقويم الضغط تدريجيًا لنقل الأسنان إلى وضعها الصحيح مع مرور الوقت. في دبي، يقدم أطباء تقويم الأسنان أنواعًا مختلفة من التقويم، بما في ذلك التقويم الخزفي الذي يمتزج مع لون الأسنان الطبيعي للحصول على مظهر أقل وضوحًا.
محاذاة واضحة:
اكتسبت أدوات التقويم الشفافة، مثل إنفيزلاين، شعبية في دبي بسبب طبيعتها السرية والملاءمة. تعمل هذه المصففات القابلة للإزالة والمصممة خصيصًا على تحريك الأسنان تدريجيًا إلى محاذاة دون الحاجة إلى أقواس أو أسلاك. المصففات الشفافة مفضلة بشكل خاص من قبل البالغين والمراهقين الذين يبحثون عن خيار أقل وضوحًا لعلاج تقويم الأسنان.
الأقواس اللغوية:
يتم وضع التقويم اللساني على السطح الداخلي للأسنان، مما يجعلها غير مرئية تقريبًا من الخارج. هذا الخيار يروق للأفراد الذين يرغبون في تقويم أسنانهم بشكل فعال دون التأثير الجمالي للأقواس التقليدية. في دبي، يمكن لأخصائيي تقويم الأسنان المهرة في استخدام الأقواس اللغوية تقديم خطط علاجية مخصصة مصممة خصيصًا لتلبية احتياجات الأسنان الفردية.
قشور الأسنان:
بالنسبة للحالات الخفيفة من تداخل الأسنان حيث قد لا يكون علاج تقويم الأسنان ضروريًا، فإن قشور الأسنان تقدم حلاً تجميليًا. يتم ربط هذه الأغلفة الخزفية الرقيقة بالسطح الأمامي للأسنان، مما يغطي بشكل فعال العيوب مثل التداخلات البسيطة. يتم تصنيع قشور الأسنان في دبي خصيصًا لتتناسب مع اللون والشكل الطبيعي لأسنانك، مما يوفر تعزيزًا جماليًا ومتينًا.
اختيار العلاج المناسب:
يعتمد اختيار طريقة تصحيح الأسنان المتداخلة في دبي على عدة عوامل، بما في ذلك شدة الازدحام، والتفضيلات الشخصية، والميزانية. تعد استشارة طبيب تقويم الأسنان أو طبيب الأسنان التجميلي المؤهل أمرًا بالغ الأهمية لتحديد خطة العلاج الأكثر ملاءمة لتحقيق ابتسامة أكثر استقامة وصحة.
خاتمة:
في دبي، يمكن للأفراد الذين يسعون إلى تصحيح الأسنان المتداخلة الوصول إلى مجموعة من علاجات تقويم الأسنان والتجميل المتقدمة. من الأقواس التقليدية إلى أدوات التقويم الشفافة الحديثة وقشور الأسنان، هناك حلول فعالة مصممة خصيصًا لتلبية احتياجات الأسنان المتنوعة. سواء كنت تعطي الأولوية للجماليات أو الراحة أو تقويم الأسنان الشامل، فإن استشارة طبيب الأسنان يمكن أن ترشدك نحو الخيار الأنسب لتحقيق ابتسامة واثقة ومتناسقة.

Comments