Composite bonding is one of the most popular cosmetic dental treatments for enhancing the appearance of your teeth. Known for its affordability, minimal invasiveness, and quick results, it’s become a go-to solution for people looking to improve their smile without undergoing extensive procedures. In particular, composite bonding in Dubai has seen a rise in demand due to the city’s cutting-edge dental clinics and internationally trained specialists. But like any treatment, it comes with both benefits and limitations that you should consider before making a decision.
What Is Composite Bonding:
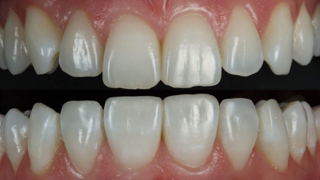
Composite bonding is a cosmetic procedure where a tooth-colored resin is applied to the surface of a tooth to correct imperfections. It is sculpted, hardened with a special light, and polished to match the surrounding teeth. The goal is to improve aesthetics and restore functionality without major dental work.
- Materials used: Tooth-colored composite resin
- Common uses: Repairing chips, closing gaps, reshaping teeth, hiding discoloration
- Time required: Often completed in a single dental visit
- Technique: Bonding is molded and polished to blend with natural teeth
Pros of Composite Bonding:
There are many reasons why composite bonding has become a preferred choice for both patients and dentists. It’s especially appealing for those seeking a non-invasive, fast, and cost-effective solution.
- Minimally invasive: Requires little or no removal of tooth enamel
- Quick results: Often completed in one appointment
- Affordable: Less expensive than veneers or crowns
- Natural look: Resin is shade-matched to your existing teeth
- Reversible: Can be undone or revised in the future if needed
- Customizable: Can be tailored to match the shape, size, and color of your natural teeth
- Painless: Usually requires no anesthesia unless used to treat decay
Cons of Composite Bonding:
While composite bonding offers many benefits, it also comes with some drawbacks, particularly in terms of durability and stain resistance. Knowing these limitations can help you make a more informed choice.
- Less durable: More prone to chipping or breaking than porcelain veneers
- Shorter lifespan: Typically lasts 5–7 years with good care
- Stains over time: Susceptible to discoloration from coffee, tea, wine, and tobacco
- Not suitable for major repairs: Ideal for minor cosmetic issues, not for extensive damage
- Frequent touch-ups: May require periodic maintenance or repair
- Limited strength: Not ideal for back teeth or individuals who grind their teeth
Ideal Candidates for Composite Bonding:
Not everyone is the perfect candidate for composite bonding. The treatment works best for people with healthy teeth and minor cosmetic concerns. A professional evaluation is essential to determine suitability.
- Minor imperfections: Small chips, cracks, or gaps
- Discoloration: Teeth that don’t respond well to whitening treatments
- Symmetry: Enhancing the shape or alignment of teeth
- No severe bite issues: Bonding is not suitable for correcting major bite or alignment problems
- Good oral hygiene: Healthy gums and teeth are a must for best results
Longevity and Maintenance:
Composite bonding can last several years with proper maintenance. Daily habits and lifestyle choices have a significant impact on how well the bonded teeth hold up over time.
- Oral hygiene: Brush twice daily and floss regularly
- Avoid hard foods: Don’t bite down on ice, pens, or fingernails
- Limit staining substances: Reduce intake of coffee, tea, and red wine
- Regular dental check-ups: Schedule cleanings and exams every six months
- Nightguard: Recommended for patients who grind their teeth at night
Comparing Composite Bonding with Other Treatments:
Understanding how composite bonding stacks up against other cosmetic dental treatments helps clarify when it’s the best choice.
- Versus veneers: Bonding is more affordable and reversible, but veneers last longer and resist staining better
- Versus crowns: Crowns are used for significant tooth damage and offer more durability, but are more invasive and costly
- Versus whitening: Whitening treats discoloration only, while bonding also corrects shape and minor structural issues
- Versus orthodontics: Bonding can mimic the look of aligned teeth but doesn’t actually move them
Composite Bonding in Dubai: Why Patients Choose It
With its combination of affordability, accessibility, and expert care, composite bonding in Dubai continues to attract both residents and international patients. The city’s dental clinics are equipped with the latest technology, and many dentists are trained in globally recognized institutions.
- Advanced technology: Clinics use state-of-the-art tools for precision and comfort
- International standards: Dentists are often trained abroad and adhere to best practices
- Patient-centered care: Customized treatment plans tailored to your smile goals
- Convenient access: Flexible scheduling and efficient procedures for busy lifestyles
- Medical tourism options: Packages available for international patients seeking high-quality care
Final Thoughts:
Composite bonding is a fantastic option for individuals looking to enhance their smile quickly, affordably, and with minimal discomfort. It’s especially suitable for those with minor imperfections and a desire for immediate results. While it doesn’t last as long as veneers or crowns, proper care can extend its lifespan significantly. For those considering composite bonding in Dubai, the combination of advanced dental care, experienced professionals, and modern clinics makes it an excellent place to achieve your dream smile. Be sure to consult with a trusted dentist to determine if this treatment is the right fit for your unique needs.

Comments