Good oral hygiene is essential not only for maintaining a bright smile but also for protecting your overall health. Despite daily brushing and flossing, plaque and tartar can build up in areas that are hard to reach. Over time, this buildup can lead to gum diseases and other dental complications. This is where dental scaling becomes clinically important. But how do you know when scaling is needed?
Understanding what scaling entails and the signs that point to its necessity can help you maintain healthier teeth and gums in the long term.
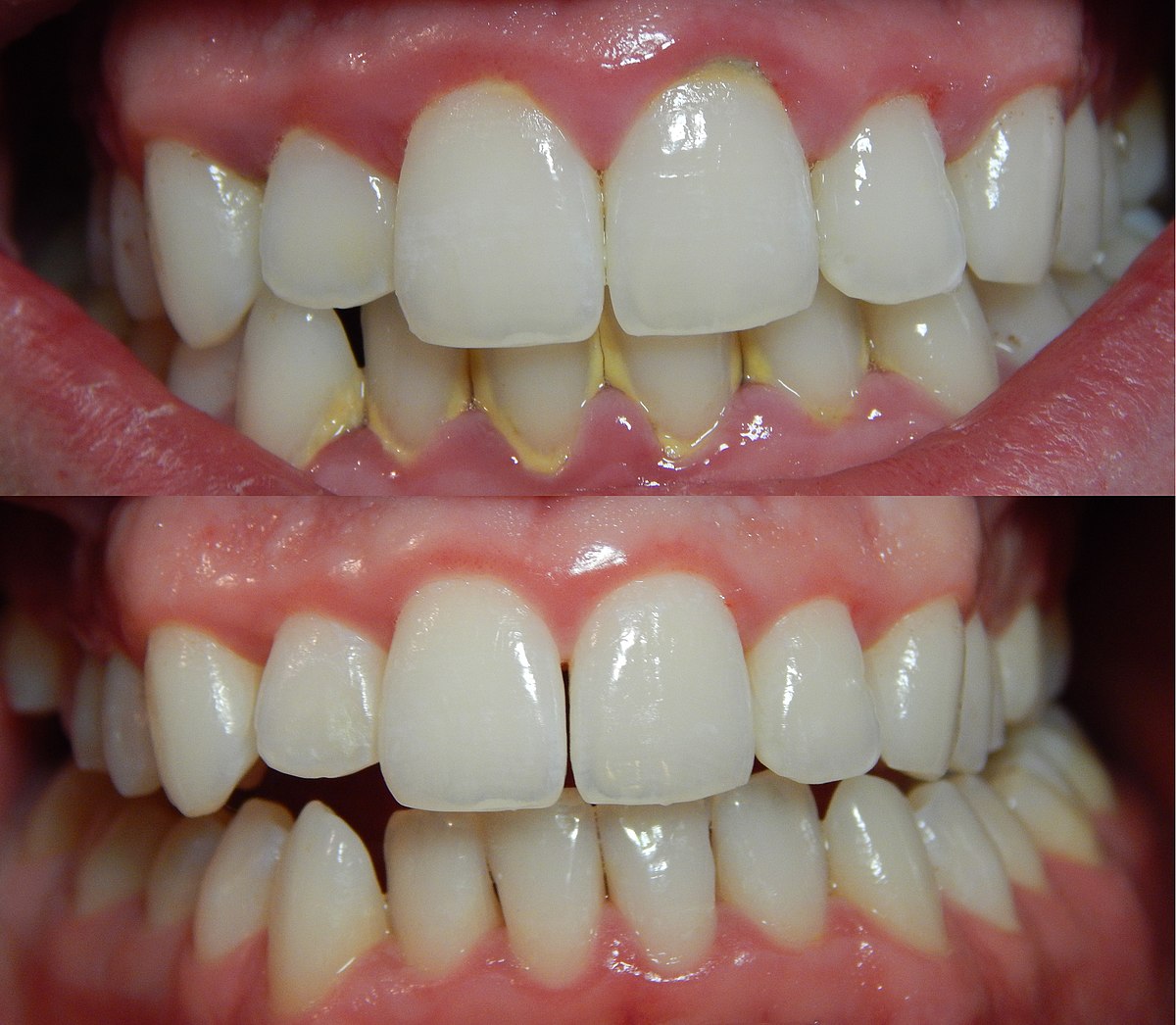
What Is Dental Scaling?
Dental scaling is a non-surgical procedure that removes plaque, tartar, and bacterial toxins from the surfaces of the teeth and beneath the gumline. It's often part of a deeper cleaning process known as scaling and root planing. This treatment is more intensive than a regular dental cleaning and is usually recommended when there's evidence of gum disease.
Scaling is often performed using specialized tools that allow dental professionals to access and clean areas below the gumline, which are usually not reachable through standard brushing or flossing techniques.
Signs You May Need Dental Scaling
Scaling becomes clinically necessary when signs of periodontal (gum) disease appear. These signs include:
- Persistent bad breath
- Red, swollen, or bleeding gums
- Gums that have pulled away from the teeth
- Loose or shifting teeth
- Visible tartar deposits on teeth
- Tooth sensitivity due to receding gums
These symptoms indicate that regular cleaning may not be enough, and deeper intervention is required to prevent further damage.
Why Teeth Scaling in Islamabad Is Gaining Importance
As awareness of oral health grows in the region, more individuals are opting for preventive and therapeutic treatments like Teeth Scaling in Islamabad. Local dental professionals are increasingly emphasizing the importance of this procedure not just as a cosmetic enhancement, but as a crucial health measure. With the rise in urban lifestyles, poor dietary habits, and neglect of oral hygiene, many people find themselves dealing with gum-related problems much earlier in life than expected.
Choosing professional scaling in Islamabad not only addresses current dental concerns but also plays a vital role in preventing long-term issues such as tooth loss or advanced periodontal disease.
Clinical Conditions That Require Scaling
While many people benefit from scaling as a preventive measure, there are specific clinical conditions where scaling is essential:
‣ Gingivitis: This is the earliest stage of gum disease, marked by inflammation and bleeding of the gums. Scaling can effectively remove the buildup of plaque, reversing gingivitis before it progresses.
‣ Periodontitis: When gingivitis is left untreated, it can evolve into periodontitis. In this stage, the gums pull away from the teeth and form pockets that become infected. Scaling helps to clean these pockets, allowing the gums to heal.
‣ Pre-Orthodontic or Restorative Treatments: Scaling is often required before beginning orthodontic treatments or placing crowns, bridges, or implants. It ensures a clean and healthy base for these procedures to be successful.
‣ Chronic Halitosis (Bad Breath): Persistent bad breath is often caused by bacteria below the gumline. Scaling can help eliminate these bacteria and restore fresher breath.
How Often Should You Get Scaling Done?
The frequency of dental scaling varies from person to person, depending on their oral health condition. For those with healthy gums, scaling may only be necessary once or twice a year. However, patients with a history of gum disease may require more frequent visits, sometimes every three to four months, to maintain optimal oral health.
Regular dental check-ups can help your dentist assess the condition of your gums and recommend the right scaling schedule.
Conclusion: Prioritize Your Dental Health
Scaling is not just a cosmetic procedure—it’s a clinical necessity in many cases. When ignored, gum disease can silently progress and lead to severe consequences including tooth loss and systemic health problems. Recognizing the early signs and consulting a dental professional can save you from complex treatments down the line.
If you’re experiencing any symptoms mentioned or it’s been a while since your last professional cleaning, it’s time to consult experts who can guide you appropriately. At Royal Cosmetic Surgery PK, you’ll find advanced dental care tailored to your needs, helping you maintain a healthier and brighter smile for years to come.
Comments