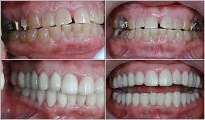
Full mouth rehabilitation, also known as full mouth restoration or reconstruction, is a comprehensive dental procedure that aims to restore the functionality, appearance, and overall health of a patient’s teeth and gums. This treatment is ideal for individuals who have suffered from severe dental issues, including tooth loss, decay, misalignment, bite problems, and other oral health concerns. In Pune, a leading hub for dental care, full mouth rehabilitation has become increasingly popular due to its ability to deliver exceptional results.
What is Full Mouth Rehabilitation?
Full Mouth Rehabilitation Treatment in Pune is an intricate and personalized dental treatment plan designed to rebuild and restore the teeth and gums of individuals who have extensive dental problems. It often involves a combination of treatments such as crowns, bridges, dental implants, veneers, dentures, and sometimes even orthognathic surgery to correct bite misalignments. The goal of full mouth rehabilitation is not just to improve the aesthetic appearance of a patient’s smile but also to ensure proper oral function, including chewing, speaking, and overall dental health.
When is Full Mouth Rehabilitation Needed?
Patients may require full mouth rehabilitation due to several factors:
- Severe Tooth Wear or Erosion: This may be caused by factors such as acid reflux, bruxism (teeth grinding), or aging. The teeth may become worn down or damaged, making it difficult to chew or speak properly.
- Multiple Missing Teeth: Missing teeth, whether from trauma, decay, or gum disease, can significantly impact a person’s smile and ability to function normally. Dental implants or bridges may be used to replace these teeth.
- Misalignment or Bite Issues: Improper bite alignment can lead to pain, discomfort, and difficulty chewing. Full mouth rehabilitation can help realign the teeth and jaw, restoring optimal functionality.
- Severe Gum Disease: If gum disease has progressed significantly, it can lead to tooth mobility or loss. In such cases, restorative treatments are necessary to replace lost teeth and restore oral health.
- Cosmetic Concerns: A person may wish to enhance the appearance of their smile for aesthetic reasons. This could involve teeth whitening, veneers, or crowns to improve the overall look of the teeth.
Steps Involved in Full Mouth Rehabilitation
The process of full mouth rehabilitation is highly customized based on the patient’s specific dental needs. Here’s an outline of the typical steps involved:
- Consultation and Evaluation: The first step is a detailed consultation with a qualified dentist or prosthodontist in Pune. During this visit, the dentist will assess the patient’s oral health, take X-rays, and discuss treatment goals.
- Treatment Planning: Based on the evaluation, the dentist will design a tailored treatment plan, including the necessary procedures to address the dental issues. This could involve various restorative techniques, including crowns, bridges, dental implants, and veneers.
- Restoration Process: Depending on the complexity, the treatment may be carried out in multiple stages. The dentist will begin with procedures like root canals, dental implants, or tooth extractions, followed by crowns, bridges, or dentures to restore function and aesthetics.
- Follow-up and Maintenance: Once the rehabilitation is complete, the dentist will schedule follow-up visits to ensure the success of the treatment. Proper oral hygiene and regular dental check-ups are essential for maintaining the results.
Benefits of Full Mouth Rehabilitation
- Improved Functionality: Full mouth rehabilitation restores the ability to chew, bite, and speak comfortably.
- Aesthetic Enhancement: The treatments used, such as crowns and veneers, enhance the appearance of the smile, giving the patient a more youthful and confident look.
- Increased Comfort: By correcting bite issues and tooth alignment, patients often experience less pain and discomfort in their daily activities.
- Long-lasting Results: With modern materials and techniques, full mouth rehabilitation offers durable and long-lasting solutions.
Conclusion
Full Mouth Rehabilitation Treatment in Pune is a transformative dental treatment that offers patients a chance to restore their oral health, functionality, and aesthetics. With advanced techniques and experienced dental professionals, Pune offers a wide range of options to address complex dental issues. Whether due to tooth loss, misalignment, or cosmetic concerns, full mouth rehabilitation is a life-changing solution that can help individuals achieve a healthier, more confident smile.
Comments