Introduction
Full Mouth Rehabilitation is a comprehensive dental procedure designed to restore and enhance the overall function and aesthetics of your smile. This treatment is particularly beneficial for individuals with extensive dental issues such as missing teeth, severe decay, gum disease, and other dental concerns. In Pune, Dr. Ajwani’s Dental Center offers exceptional Full Mouth Rehabilitation services tailored to meet the unique needs of each patient.

What is Full Mouth Rehabilitation?
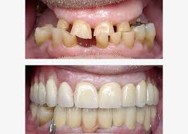
Full Mouth Rehabilitation involves a combination of dental treatments aimed at restoring the functionality, health, and appearance of your entire mouth. This procedure may include various treatments such as dental implants, crowns, bridges, veneers, root canal therapy, and orthodontics. The goal is to achieve optimal oral health and a beautiful smile through a personalized treatment plan.
Why Choose Full Mouth Rehabilitation?
1.Comprehensive Care: Full Mouth Rehabilitation addresses multiple dental issues simultaneously, ensuring that every aspect of your dental health is considered. This holistic approach allows for better coordination among different dental specialists.
2.Customized Treatment Plans: Each patient’s dental needs are unique. At Dr. Ajwani’s Dental Center, we conduct thorough examinations and consultations to develop a tailored treatment plan that meets your specific requirements and goals.
3.Restoration of Functionality: If you’re struggling with issues like difficulty chewing, speaking, or jaw pain, Full Mouth Rehabilitation can restore proper function to your mouth, significantly improving your quality of life.
4.Aesthetic Improvement: Alongside functional restoration, this treatment enhances the appearance of your smile. Whether through dental implants or cosmetic enhancements, your smile will be rejuvenated, boosting your confidence.
The Process of Full Mouth Rehabilitation
1.Initial Consultation: The journey begins with a comprehensive examination, including digital X-rays and 3D imaging, to assess your dental condition. During this consultation, your dentist will discuss your concerns, expectations, and treatment options.
2.Treatment Planning: Based on the findings, a detailed treatment plan will be created. This plan may include various procedures like extractions, implants, crowns, or orthodontic treatments, depending on your specific needs.
3.Implementation of Treatments: The rehabilitation process may involve multiple appointments, where various treatments are performed. Your comfort is our priority, and we use advanced techniques and anesthesia to ensure a pain-free experience.
4.Follow-Up Care: After the completion of your treatment, regular follow-up visits are essential to monitor your progress and ensure the long-term success of the rehabilitation. Your dentist will provide guidance on proper oral hygiene practices and maintenance.
Benefits of Full Mouth Rehabilitation
- Improved Oral Health: By addressing all dental issues, you can prevent further complications and improve your overall oral health.
- Enhanced Quality of Life: Restoring function and aesthetics can significantly boost your confidence and improve daily activities such as eating and speaking.
- Long-Term Results: With proper care and maintenance, the results of Full Mouth Rehabilitation can last for many years, providing you with a functional and beautiful smile. Our services in Full Mouth Rehabilitation Treatment in Pune
Conclusion
Full Mouth Rehabilitation at Dr. Ajwani’s Dental Center in Pune offers a comprehensive solution for those seeking to restore their oral health and aesthetics. With a team of skilled professionals and a patient-centered approach, we are committed to delivering the best care possible. If you’re facing multiple dental issues and wish to explore the benefits of Full Mouth Rehabilitation, schedule a consultation today to embark on your journey toward a healthier, more confident smile.

Comments