تحلم العديد من الناس بابتسامة هوليودية مثالية، تعكس الجمال والثقة. إحدى الطرق الشائعة لتحقيق هذه الابتسامة هي استخدام الفينيرز، وهي قشور رقيقة من البورسلين أو الراتنج تُركب على الأسنان لتحسين شكلها ولونها. إذا كنت تفكر في تحسين ابتسامتك، فسوف نتناول في هذه المدونة خطوات سهلة للحصول على ابتسامة هوليودية مع ايماكس فينيرز الرياض.
ما هي الفينيرز؟
تعريف الفينيرز
الفينيرز عبارة عن قشور رقيقة تُصنع عادة من البورسلين أو المركبات الراتنجية. يتم تصميم هذه القشور لتتناسب مع شكل ولون الأسنان الطبيعية، مما يجعلها خيارًا شائعًا لمن يبحثون عن تحسين مظهر أسنانهم.
فوائد الفينيرز
الفينيرز تقدم فوائد عديدة، مثل:
- تحسين الشكل واللون: تساعد الفينيرز على تصحيح عيوب الأسنان مثل التصدعات أو التباين في اللون.
- تحمل لفترة طويلة: الفينيرز المصنوعة من البورسلين يمكن أن تدوم لسنوات عديدة إذا تم الاعتناء بها بشكل جيد.
- تأثيرات فورية: يمكن أن تحقق النتائج الفورية، مما يعني أنك ستغادر العيادة بابتسامة جديدة.
خطوات الحصول على الفينيرز
1. الاستشارة الأولية
تبدأ رحلة الحصول على الفينيرز بزيارة استشارية مع متخصص. في هذه المرحلة، سيتم تقييم أسنانك وصحة فمك، وتحديد ما إذا كانت الفينيرز هي الخيار المناسب لك.
نقاط مهمة في الاستشارة:
- تحديد الأهداف: الحديث عن ما ترغب في تحقيقه من العلاج.
- تقييم الحالة الصحية: إجراء فحص شامل للتأكد من عدم وجود مشاكل في الأسنان أو اللثة.
2. التخطيط للعلاج
بمجرد تأكيد استعدادك للخضوع للعلاج، سيتم وضع خطة تفصيلية. يشمل ذلك نوع الفينيرز المطلوبة، ومدة العلاج، وتكلفة الإجراءات.
عناصر خطة العلاج:
- نوع الفينيرز: اختيار بين الفينيرز البورسلينية أو المركبة.
- التكلفة: من المهم معرفة تكلفة العلاج والتأكد من أنه يتناسب مع ميزانيتك.
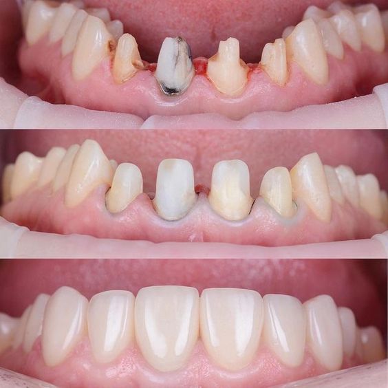
3. تحضير الأسنان
قبل تركيب الفينيرز، يحتاج طبيب الأسنان إلى تحضير أسنانك. هذا يتضمن إزالة كمية صغيرة من المينا لتوفير مساحة للقشور.
خطوات التحضير:
- إزالة المينا: يعمل طبيب الأسنان على إزالة طبقة رقيقة من المينا من الأسنان المعنية.
- القياسات: أخذ قياسات دقيقة لتصميم الفينيرز بحيث تناسب شكل الأسنان بشكل مثالي.
4. تركيب الفينيرز
بعد تحضير الأسنان، يتم تركيب الفينيرز. سيتم وضع الفينيرز على الأسنان باستخدام مادة لاصقة خاصة، مما يضمن ثباتها.
عملية التركيب تشمل:
- تطبيق المادة اللاصقة: تُستخدم مادة لاصقة قوية لتثبيت الفينيرز.
- الضوء لتثبيت اللاصق: استخدام ضوء خاص لتفعيل المادة اللاصقة وجعلها تلتصق بشكل دائم.
5. التعديلات النهائية
بعد التركيب، قد يحتاج طبيب الأسنان لإجراء بعض التعديلات النهائية للتأكد من أن الفينيرز تتناسب بشكل مثالي مع الأسنان الأخرى.
التعديلات تشمل:
- التحقق من الإطباق: التأكد من أن الأسنان العليا والسفلى تتناسب بشكل صحيح عند الإغلاق.
- التلميع: تلميع الفينيرز لتعزيز مظهرها وملاءمتها.
العناية بالفينيرز
العناية اليومية
تعتبر العناية اليومية ضرورية للحفاظ على مظهر الفينيرز ودوامها. استخدم فرشاة أسنان ناعمة ومعجون أسنان غير كاشط.
نصائح للعناية:
- التفريش: تفريش الأسنان مرتين يوميًا.
- الخيط: استخدام خيط الأسنان يوميًا لإزالة بقايا الطعام بين الفينيرز والأسنان.
زيارة الطبيب بانتظام
يجب عليك متابعة الزيارات المنتظمة لطبيب الأسنان لفحص الفينيرز وصحة فمك بشكل عام. يمكن لطبيب الأسنان تحديد أي مشاكل مبكرًا.
فوائد الزيارات المنتظمة:
- الكشف المبكر عن المشكلات: يمكن اكتشاف أي مشاكل قبل أن تتفاقم.
- التنظيف الاحترافي: يضمن الحصول على تنظيف احترافي يساعد في الحفاظ على صحة الفم.
تكلفة الفينيرز في الرياض
العوامل المؤثرة في التكلفة
تختلف تكلفة الفينيرز بناءً على عدة عوامل، منها:
- نوع الفينيرز: البورسلين عادةً ما يكون أكثر تكلفة من الفينيرز الراتنجية.
- عدد الفينيرز المطلوبة: كلما زاد عدد الفينيرز، زادت التكلفة الإجمالية.
- العيادة: تختلف الأسعار من عيادة لأخرى بناءً على الموقع والخدمات المقدمة.
خيارات الدفع
تقدم العديد من العيادات خيارات دفع مرنة. تأكد من السؤال عن الخطط المتاحة.
الخاتمة
إن الحصول على ابتسامة هوليودية مع ايماكس فينيرز الرياض هو خيار مثالي لمن يسعون لتحسين مظهر أسنانهم. من خلال اتباع الخطوات المذكورة، يمكنك ضمان تجربة سلسة ونتائج مرضية. تذكر أن العناية اليومية والمتابعة مع طبيب الأسنان هي المفتاح للحفاظ على نتائج الفينيرز وجعل ابتسامتك مشرقة دائمًا. إذا كنت تفكر في الفينيرز، لا تتردد في البحث عن المزيد من المعلومات والتحدث مع متخصص للحصول على نصيحة تناسب احتياجاتك.

Comments