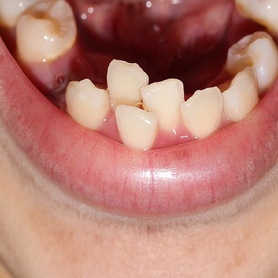
Ignoring overlapping teeth can pose significant health risks, particularly in a bustling city like Dubai, where aesthetics and health are often closely intertwined. Overlapping teeth can lead to various complications that extend beyond mere cosmetic concerns, impacting oral health and overall well-being. Seeking help from an Overlapping Teeth Clinic Dubai is essential for preventing these risks. This article delves into the health implications of neglecting overlapping teeth and emphasizes the importance of timely intervention
.
The Dangers of Overlapping Teeth:
Overlapping teeth can create an array of issues that may worsen over time. Understanding these dangers is crucial for anyone who notices dental misalignments.
Increased Risk of Tooth Decay:
One of the primary health risks associated with overlapping teeth is an increased susceptibility to tooth decay. The overlapping nature of these teeth often creates tight spaces that are challenging to clean.
Plaque Accumulation: Food particles and bacteria can build up in these hard-to-reach areas, leading to plaque formation.
Cavities: If plaque is not adequately removed, it can harden into tartar and lead to cavities, which may require fillings or root canal treatments.
Gum Disease Development:
Gum disease, or periodontal disease, is another significant concern for individuals with overlapping teeth. This condition arises from plaque buildup and can have serious health consequences.
Gingivitis: The early stage of gum disease, characterized by swollen and bleeding gums, is often reversible with good oral hygiene. However, overlapping teeth can make it difficult to maintain proper oral hygiene.
Periodontitis: If left untreated, gingivitis can progress to periodontitis, resulting in severe gum inflammation, bone loss, and even tooth loss.
Speech and Communication Issues:
Overlapping teeth can also affect an individual's speech patterns, creating challenges in effective communication. This is especially relevant in a multicultural city like Dubai, where clear communication is essential in social and professional settings.
Difficulty Pronouncing Words:
Individuals with overlapping teeth may struggle to articulate certain sounds clearly.
Impacted Pronunciation: Overlapping teeth can affect tongue placement, leading to difficulties in pronouncing sounds like “s,” “th,” and “d.”
Social Implications: These speech challenges can lead to embarrassment or frustration, impacting an individual's confidence in social interactions.
Emotional Impact:
The inability to communicate effectively can lead to emotional challenges, including anxiety and low self-esteem.
Social Withdrawal: Individuals may avoid social situations due to embarrassment about their speech, leading to isolation.
Professional Concerns: In professional settings, poor communication can hinder career advancement and networking opportunities.
Bite Problems and Jaw Discomfort:
Overlapping teeth can lead to bite problems, resulting in a misalignment of the upper and lower jaws.
Malocclusion:
Malocclusion refers to the misalignment of teeth when the jaws are closed. This condition can lead to various complications:
Chewing Difficulties: An improper bite can make chewing uncomfortable, leading to changes in eating habits.
Jaw Pain: Misalignment can place undue stress on jaw muscles, leading to discomfort and pain in the temporomandibular joint (TMJ).
Headaches and Migraines:
In addition to jaw pain, individuals with overlapping teeth may experience headaches or migraines due to muscle tension and strain.
Tension Headaches: Muscle strain from jaw misalignment can lead to tension headaches, impacting daily activities and quality of life.
Increased Frequency: Some individuals may find themselves experiencing headaches more frequently due to the underlying dental issues.
Psychological Consequences of Overlapping Teeth:
The aesthetic implications of overlapping teeth can lead to significant psychological impacts, especially in a city known for its emphasis on appearances.
Low Self-Esteem:
The appearance of overlapping teeth can affect an individual’s self-esteem and body image.
Social Anxiety: Many individuals may feel self-conscious about their smiles, leading to anxiety in social situations.
Career Implications: Concerns about appearance can impact professional opportunities, as individuals may feel less confident in networking situations.
Seeking Treatment: Importance of Professional Help:
Given the potential risks associated with overlapping teeth, seeking help from an overlapping teeth clinic in Dubai is vital. Professional intervention can help mitigate these health risks and improve overall well-being.
Comprehensive Dental Assessment:
A thorough examination at an overlapping teeth clinic can provide valuable insights into the current state of your dental health. This typically includes:
Visual Inspection: Dentists will examine your teeth and gums for any signs of decay or gum disease.
X-rays: These diagnostic tools can help visualize the alignment of teeth and roots, allowing for a comprehensive assessment of the issue.
Customized Treatment Plans:
After the assessment, a tailored treatment plan can be developed to address your specific needs.
Orthodontic Solutions: Options may include braces, clear aligners, or other orthodontic devices designed to correct overlapping teeth.
Oral Hygiene Education: Dentists can provide personalized advice on maintaining good oral hygiene practices, which is crucial for preventing further complications.
The Role of Regular Dental Check-Ups:
Regular visits to an overlapping teeth clinic in Dubai are essential for maintaining dental health and preventing complications associated with overlapping teeth.
Preventive Care:
Regular dental check-ups allow for the early detection of issues, helping to prevent more severe complications down the line.
Professional Cleanings: Dental professionals can remove plaque and tartar buildup that may contribute to decay and gum disease.
Monitoring Progress: If you're undergoing treatment for overlapping teeth, regular visits allow for ongoing assessment and adjustments to your treatment plan as needed.
Lifelong Oral Health:
Prioritizing your dental health can lead to lifelong benefits. By managing overlapping teeth effectively, you can enjoy:
Improved Oral Function: Correctly aligned teeth facilitate better chewing and speaking abilities.
Enhanced Confidence: A healthy smile contributes to improved self-esteem and confidence in social situations.
Conclusion:
Ignoring overlapping teeth can lead to various health risks that extend beyond aesthetics. From increased susceptibility to cavities and gum disease to speech challenges and psychological impacts, the consequences of neglecting this issue can be significant. Seeking help from an overlapping teeth clinic in Dubai is crucial for preventing these risks and ensuring optimal oral health. By prioritizing your dental well-being and addressing overlapping teeth promptly, you can enjoy a healthier, more confident smile for years to come.
Comments