At Lotus Imaging & Diagnostic Centre, we are dedicated to providing the highest quality diagnostic services, including advanced imaging techniques like Colour Doppler Ultrasound. If you are looking for reliable and accurate medical imaging in Vaishali Nagar, Jaipur, our centre is your trusted destination.
Understanding Colour Doppler Ultrasound
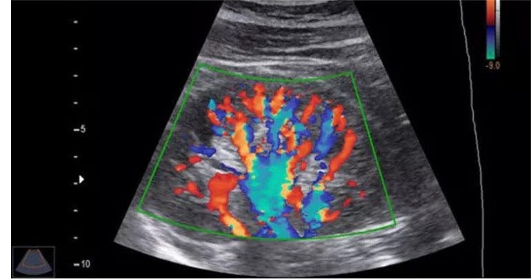
A Colour Doppler Ultrasound is a specialized imaging technique that uses sound waves to visualize blood flow within the body’s blood vessels. Unlike a standard ultrasound that only produces black-and-white images, a Colour Doppler ultrasound adds color to show the speed and direction of blood flow. This advanced technology helps in the diagnosis and monitoring of various medical conditions, providing critical insights into your health.
Why Choose Colour Doppler Ultrasound?
1. Non-Invasive and Painless: The procedure is completely non-invasive and painless, making it a preferred choice for patients.
2. Real-Time Results: It offers real-time imaging, allowing doctors to assess the condition of blood vessels instantly.
3.Detailed Analysis: It provides detailed information about blood flow, which is crucial for diagnosing conditions like blood clots, poor circulation, and blockages.
4. Safe and Effective: Colour Doppler Ultrasound is safe for all patients, including pregnant women and those with pre-existing medical conditions.

Colour Doppler Ultrasound
Applications of Colour Doppler Ultrasound
Colour Doppler Ultrasound is widely used to:
- Examine blood flow in arteries and veins
- Detect blockages in blood vessels
- Monitor blood flow to organs and tissues
- Assess the functioning of heart valves
- Identify issues in the liver, kidneys, and other organs
Our Expertise in Vaishali Nagar, Jaipur
At Lotus Imaging & Diagnostic Centre, we pride ourselves on our facilities and a team of highly skilled radiologists and technicians. Our commitment to excellence ensures that you receive accurate and reliable results in a comfortable and professional environment.
Visit Us for Comprehensive Diagnostic Services
If you need a Colour Doppler in Vaishali Nagar, Jaipur, visit Lotus Imaging & Diagnostic Centre. We are here to support your healthcare journey with precision and care. For more information or to book an appointment, contact us today.
— -
Lotus Imaging & Diagnostic Centre
Your Health, Our Priority

Comments