Full arch dental implants can be considered the best option for dental implants. If you have lost most of all your teeth. In that case, the Dental Implants Houston will recommend you full arch dental implants. You can see that the full arch dental implants can provide you a second chance to flaunt a perfect smile as it will restore the natural functionality so that you can laugh, eat, speak without any hesitation.
What is Full Arch Dental Implants?
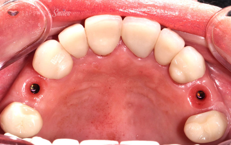
Full arch dental implants are a complete solution to replace teeth. It consists of two main parts, dental implants, and replacement teeth. To understand properly the Full arch Dental Implant let’s discuss its components with Dental Implants Houston Tx.
The implant:
The shape of implants is similar to the screws that are associated with the gumline into the jawbone like the roots of natural teeth. The implant post is constructed with a biocompatible material such as titanium so that it can easily bond with the bone.
The abutment:
This part is added after the implant post attaching to the head of the implant post bestows a connection to any type of dental restoration.
The dental restoration:
Full arch dental implants hold a full set of dental implants normally four to eight per arch or row of the teeth. Full arch dental implants are supported by four to six implants instead of using one implant per replacement teeth.
Advantages of Full Arch Implants:
- The full arch implants provide a similar look and functioning to natural teeth. This type of implant contains implant-supported full bridges that are designed to be long lasting.
- The full arch implants are more comfortable and stable than conventional dentures as they allow you to retain a more natural biting and chewing ability.
- The full mouth implants maintain your bone more properly because implant-supported full bridges and dentures will replace some of your tooth roots.
- They increase the aesthetic appearance and are easier to maintain.
- They are designed to last for many years. Since they are long-lasting, they can restore a patient’s smile permanently.
- The full arch implants make eating comfortable as there is no feeling of any changes and work like natural teeth.
- Dental implants play an important role in maintaining your smile healthy. Since they are permanent, hence they prevent your jawbone from resorption.
Procedure:
After the completion of the initial examination, the doctor will recommend a Cone Beam CT scan that will provide a complete full mouth image of your jaws along with all important structures like bone, muscles, nerves, and blood vessels. With this information, the dentist will plan your full mouth implant surgery with the help of computer-guided surgery.
After deciding the appropriate position for each dental implant, the dentist will fabricate a custom-made template for full mouth dental implants. After that, he/she will insert the implants in their right position. All of the six implants are covered up with healing caps to get bonded with your jaw bone. The dentist will provide temporary teeth until the permanent is being designed. Then, he/she will place permanent mouth implants.
So, if you have more than one missing teeth in your mouth, you can get a full mouth implant.
Article Source : https://dentistheightshouston.blogspot.com/2021/02/what-is-procedure-of-full-arch-dental.html



Comments