Cosmetic dentistry covers the treatment that can help the individuals to make their teeth and grin to have an improved appearance, for example, teeth whitening.
We've all observed the celebrities flaunting their wonderful smiles. Numerous celebs consider having cosmetic dentistry treatment to make their smiles more attractive. However, that doesn’t mean that it is only for the stars: you also can benefit from cosmetic dentistry near me to appreciate wonderful teeth!
There are numerous basic, fast, and easy restorative dentistry treatments that can significantly improve the presence of your teeth – in some cases in only a couple of hours.
Teeth Whitening
Everyone has known about teeth brightening and this treatment has gotten more popular as a safe method that can be easily performed by your cosmetic dentistry specialists.
In case you're unsure about treatment, teeth brightening is an excellent beginning place. This exemplary treatment is quick and simple. Everybody's teeth can get recolored and stained over the long haul. Teeth brightening or teeth blanching makes a remarkable improvement in a few weeks. The outcomes are amazing! After teeth whitening your teeth will look more white for around two years.
Composite Fillings
If you need a filling, it is generally because you have an issue, for example, rot on a tooth that should be fixed by your dentist office near me. It is essential to do this to forestall further issues with your teeth however do you need individuals to see that you required treatment?
Numerous individuals have silver fillings from years back, and these can without much of an effort can be supplanted with composite fillings. These are white in shading so they are less noticeable.
Crowns:-
Dental crowns are utilized to fix teeth. They are frequently utilized when a tooth is separated broadly, and the crown is utilized to secure the tooth that remains.
Crowns comprise a sort of cap that is similar to your teeth. The remaining parts of a natural tooth are set up during the primary appointment and the crown is applied in the followed-up meetings. It gives assurance and adds quality, however it additionally improves the presence of the tooth.
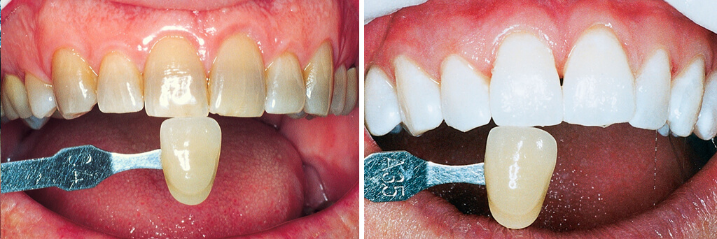
Veneers
Veneers are utilized to improve the color and position of a tooth. A veneer is a thin layer that has a similar tone as your teeth. At the point when a tooth needs fixing, this layer is essentially attached to the front of the tooth (normally one of the front teeth) to give it a new look. Almost no planning is required, making it a brisk and simple restorative dentistry treatment choice.
Teeth Straightening
Do you feel embarrassed when you smile that everybody will see teeth that are squinting or the one that sticks out all in all too much? Teeth would now be able to fix effectively in any event when you are a grown-up. There are a few alternatives and your local dentist open on Saturday will have the option to advise the most ideal route towards achieving teeth straightening.
Article Source:- https://urbndental.wordpress.com/2020/10/31/what-is-cosmetic-dentistry-and-how-it-can-help-me/
Comments