Do your teeth look longer than normal or if you have a high sensitivity to temperature when you eat. That means your gums are recessed and revealed to the roots of your teeth. The most essential thing is to have the Gum Recession Treatment Houston for such symptoms as the recession is an instant cosmetic and aesthetic concern and long-term damage to the smile. The hospitals are now serving surgery to the patients to maintain and enhance the aesthetic looks of their teeth.
Further, the gum recession treatment is also known as gum grafting. To know more about this, read the article!
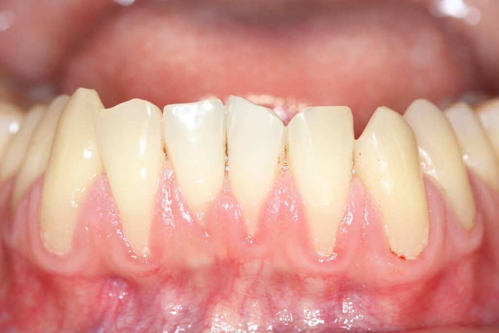
What is gum recession?
The process of gum recession is that in which the edge of the gum tissue that covers the teeth wears away, or pullbacks, revealing more tooth, or the tooth root. When the gum recession happens, ‘gaps’ or ‘pockets’, form in between the gum line and teeth and become easy for the disease that causes the bacteria to build up. If these remain untreated then the assisting tissue and bone structures of the teeth might be critically damaged, and this will result in tooth loss. These are the usual dental issues.
What causes gum recessions?
The gum recession is the frontage of the tooth roots that are caused by the gum tissue abandoning. The common causes why recession occurs are-
- Teeth trauma
- Genetics
- Grinding of the teeth
- Various gum diseases
- Teeth that are not in alignment
- Overly assertive flossing or brushing
Why do patients need gum recession surgery?
Many factors would have the gum recession like orthodontics, grinding teeth, an improper bite, and clenching. For many patients, the main cause is improper brushing methods.
At the first consultation, the Gum Recession Regeneration dentists will ask to follow the steps given below-
- Speaking with you about the signs you have been undergoing.
- Proper examination of the gums and teeth
- To learn about your brushing methods and habits.
The reason why dentists and patients suggest this surgery is the conservative way to care. The dentist may deal with the gum recession surgery to address the causes of first receding and examine the area of enhancements. There are cases where the recession will get cured on its own. When the recession is critical and does not improve, then the Gum Recession Surgery Near Me is the best option.
How is gum recession treated?
A sensitive gum recession surgery might be treated by the LANAP Procedure Near Me or the dentist by deep cleaning with the influenced area. At the time of deep cleaning, they also called root planning and tooth scaling. Further, the plaque and tartar which are built upon teeth and root surfaces below the gum line are properly eliminated and exposed to the root area that is rubbed to create it tougher for bacteria to bond itself. Further, antibiotics will be given to get rid of the persistent damaging bacteria.
If the dental problem gum recession is not cured with deep cleaning because of excess bone loss and the pockets that are too deep. Also, the gum surgery in Dental Office Houston Texas needs to be repaired when the harm is caused by a gum recession.
Conclusions
Hopefully! The above article has explained the basics of gum recession and its treatment of it. So, if you still have any questions, then do visit our website or contact the best and effective Laser Dentistry Energy Corridor.
Article Source : https://www.articleapprove.com/how-painful-is-gum-grafting-what-to-know/



Comments