Perhaps you've heard of porcelain veneers houston. For your teeth, they work like magic! Your teeth can change in appearance, becoming straighter, whiter, and more attractive thanks to these tiny porcelain shells. But you undoubtedly have some inquiries. The most frequently asked questions about porcelain veneers will be addressed in this article. It's similar to talking to your buddy dentist.
How Do Porcelain Veneers Work?
Porcelain veneers are incredibly thin, individually created tooth coverings. They are manufactured of an exceptional porcelain that closely resembles natural teeth. They are used by the best dentists near me in Houston to treat a variety of tooth issues, including stains, chipping, and crooked teeth. Think of it as a stylish new dental jacket!

How Do Porcelain Veneers Get Installed?
Veneers require a few extra procedures, but the process is similar to seeing the dentist for a routine examination. This is how it typically works:
Consultation
You first discuss your goals with your dentist. They will examine your teeth to determine whether veneers are a good choice for you.
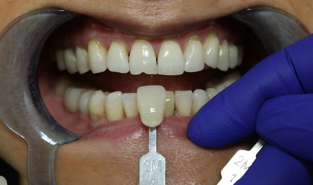
Preparation
Your dentist could trim a small portion of the front of your tooth to prepare your teeth. Making room for your new jacket is analogous to this. They'll also take a cast of your teeth or take photos of them.
Producing Veneers
Based on the mold or photos, a dental lab will create your personalized veneers. They resemble custom-fitted clothing for your teeth!
Placement
You return to the dentist once your veneers are finished. Using a special glue, they'll delicately affix the veneers to your teeth, like sticking your new jacket in place with glue.
The Last Touches
Your dentist will ensure that everything is flawless. To make your veneers blend in flawlessly, they might apply a little shaping or polishing.

How Natural-Looking Are Porcelain Veneers?
Absolutely! Porcelain veneers houston are made to resemble your natural teeth exactly. The unique porcelain material closely resembles the natural sheen and feel of teeth. Additionally, your dentist will choose the ideal shade to complement the rest of your teeth. Therefore, unless you inform someone, they won't notice your veneers when you grin.
With Porcelain Veneers, Am I Able To Eat Normally?
Yes, you can eat the things you love while wearing porcelain veneers. They are fairly durable, much like your own teeth. For both natural teeth and veneers, it's best to refrain from chewing on hard objects like ice cubes or opening bottles with your teeth.
How Durable Are Porcelain Veneers?
The best porcelain veneers in houston are remarkably robust. If you take proper care of them, they can last for a very long time, often 10 to 15 years or more. Regular brushing and flossing, checkups at the dentist, and being gentle with them will all help them last. Try to avoid biting into particularly tough objects.
In Conclusion
Porcelain veneers houston TX can transform your smile like magic. With the right maintenance, they have a natural appearance, are strong, and can last for a very long period. Recall to talk to your amiable dentist if you're considering getting veneers. They'll respond to all of your inquiries and assist you in determining whether or not veneers are the best option for your stunning smile.

Comments