Mainly untreated gum diseases and gum infections advance to periodontitis. These people must protect themselves from any dental diseases and restrict the development of the condition with regular checkups. A good dental practice and hygiene technique can help you to eliminate any types of gum disease.
Periodontitis
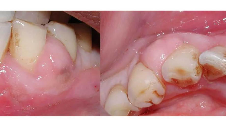
Periodontitis or advanced periodontal disease happens when your bone and surrounding tissue can be irreversibly damaged. Your teeth might start shifting, changing their bite, possibly leading to bone loss or tooth loss.
This may also become a hurdle for any future restoration procedure. A lack of bone can make it difficult for treatments such as implants, bridges, or lumineers. Even this issue can cause the health of a person's gum and bone tissue to be more exposed to the further occurrence of advanced gum disease if left untreated. Therefore, you should visit your dentist at least twice a year and follow your dental practices regularly.
What Causes Periodontitis
Most gum diseases occur in stages; the first stage of gum disease is called gingivitis. It would be best if you visited your dentist to get treated first to prevent periodontitis. Gingivitis is a reversible procedure, and the dentist can treat your inflamed gums after constant exposure to the bacteria, leading to gum and bone tissue damage.
You need an authentic and experienced Emergency Dental Clinic to ensure the health and hygiene of your mouth. You need proper care to secure the toxins may not travel to your blood vessels and other parts of your body, leading to fatal consequences.
What Can Your Dentist Do?
If a patient's gum disease advances and develops into periodontitis diseases, here simply brushing and flossing won't help your teeth from infection and dental conditions. The only thing it might do can slow down the spread of the disease. Also, you may see symptoms of tooth infection spreading to body; in that condition, you should contact your dentist for proper periodontitis treatment. Your dentist will treat your periodontitis effectively and have a professional cleaning. There are some procedures your dentist may follow to treat periodontitis.
Tissue Grafting:
In periodontitis, bacteria eat away your gum tissue. Still, your dentist can save your tooth with the help of tissue grafting treatment. In this treatment, your dentist grafts new tissue where the gums have worsened due to gum diseases.
Crown Lengthening:
In the crown lengthening process, your dentist reshapes your teeth and gums to help make a tooth that has been knockout, worn down, or fractured. This procedure will help to restore your healthy gums and hygienic smile.
Pocket Elimination:
This procedure involves folding and trimming your diseased gum's back. Your dentist will also recontour your gums against the teeth.
Conclusion:
Your dentist will advise you to follow general dental practices such as brushing and flossing your teeth two times a day. And also, you should visit Emergency Dental Care Near Me at least twice a year for follow-up checkups.
Article Source : https://www.worldofarticles.com/can-periodontitis-be-cured/



Comments