Dental health is a critical aspect of overall well-being, with modern advancements continuously improving the ways in which we maintain and treat our teeth. One significant concern in dental care is the accumulation of it, a hardened deposit that forms on teeth and can lead to serious oral health issues. Fortunately, innovative dental technologies have emerged, offering effective solutions for removing these stubborn deposits.
Understanding the term
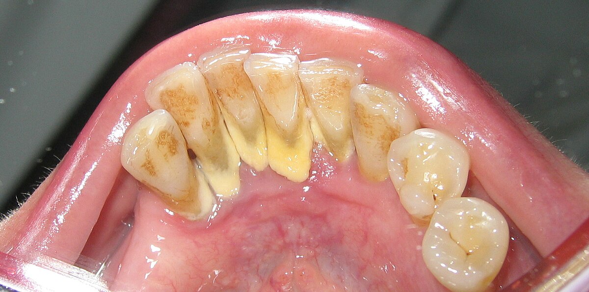
Before diving into the advanced technologies, it's essential to understand what it is. Calculus, commonly known as tartar, is a form of hardened dental plaque. When plaque is not removed through regular brushing and flossing, it can harden and form a rough, porous surface on teeth. This hardened plaque can build up to form a bridge-like structure across multiple teeth, known as a calculus bridge. This condition not only affects the aesthetics of the teeth but also contributes to gum disease, tooth decay, and other oral health issues.
Traditional Methods of Removing Calculus Bridge
Historically, dental professionals relied on manual scaling and root planing to remove calculus. These traditional methods involved the use of hand-held instruments to physically scrape the deposits from the teeth. While effective, these techniques were often time-consuming, uncomfortable for patients, and required significant skill from the dental practitioner. Additionally, manual removal might not always reach every crevice, leaving behind some deposits.
Ultrasonic Scaling Devices
One of the significant advancements in dental technology is the development of ultrasonic scaling devices. These tools use high-frequency sound waves to break down and remove calculus deposits efficiently. The ultrasonic scaler consists of a handpiece with a tip that vibrates at ultrasonic frequencies. When applied to the teeth, the vibrations create microscopic bubbles in the water surrounding the tip. These bubbles implode, producing shock waves that dislodge and remove it. Ultrasonic scaling is less invasive than traditional manual scaling, reducing patient discomfort and procedure time. It also allows for better access to hard-to-reach areas, ensuring a more thorough cleaning. Additionally, the water spray used in these devices helps to keep the area cool and rinse away debris, further enhancing the cleaning process.
Laser Dentistry
Laser technology has revolutionized many aspects of medical treatment, and dentistry is no exception. Dental lasers offer a precise and minimally invasive method for removing calculus bridge. These lasers emit concentrated beams of light that can effectively break down calculus deposits without damaging the surrounding tooth structure. The benefits of laser dentistry include reduced bleeding, decreased risk of infection, and faster healing times compared to traditional methods. Moreover, the precision of lasers allows for targeted removal of calculus, preserving more of the natural tooth. Patients often experience less pain and discomfort during and after the procedure, making it a preferred option for many.
Air Polishing System
Air polishing systems represent another innovative approach to calculus removal. These systems use a combination of air, water, and a fine powder to clean the teeth. The high-pressure stream effectively removes plaque and calculus, including the stubborner deposits found in it.
Air polishing is particularly effective for patients with heavy staining or those who prefer a non-invasive treatment. The procedure is quick and comfortable, often taking less time than traditional scaling. Furthermore, the fine powder used in air polishing can reach into crevices and other areas that might be challenging to clean with other methods.
Piezoelectric Devices
Piezoelectric devices are another cutting-edge technology used in modern dental practices. These tools operate on a principle similar to ultrasonic scalers but use piezoelectric crystals to generate vibrations. The handpiece of a piezoelectric device vibrates at high frequencies, creating mechanical energy that effectively removes calculus deposits.
Piezoelectric devices offer several advantages, including improved patient comfort and reduced risk of damage to the tooth enamel. The precision of these devices allows for more controlled and efficient removal of it. Additionally, the reduced noise and vibration levels compared to traditional ultrasonic scalers can make the experience more pleasant for patients.
Integration of AI and Robotics in Dental Care
The integration of artificial intelligence (AI) and robotics is transforming the field of dentistry, including the removal of it. AI-powered diagnostic tools can help dentists identify calculus buildup more accurately and plan treatment more effectively. Robotics can assist in performing precise and consistent procedures, reducing the margin for error and improving patient outcomes.
For example, robotic-assisted dental tools can perform scaling and root planing with unparalleled precision. These devices can navigate the complexities of the mouth, ensuring thorough cleaning while minimizing discomfort and procedure time. The use of AI and robotics also allows for better monitoring of the patient's oral health, enabling proactive and personalized care.
Future Prospects and Considerations
As dental technology continues to evolve, the methods for removing calculus bridges will become even more advanced. Future innovations may include more sophisticated laser systems, improved AI algorithms for diagnosis and treatment planning, and enhanced patient education tools to prevent calculus buildup in the first place. While these advancements hold great promise, it's essential to consider the cost and accessibility of such technologies. Ensuring that these innovative treatments are available to a broad range of patients will be crucial in improving overall dental health. Additionally, dental professionals must stay updated with the latest advancements and undergo continuous training to effectively utilize these technologies.
Conclusion
Innovative dental technologies are significantly improving the way calculus bridge is removed, making procedures more efficient, comfortable, and effective. From ultrasonic scaling and laser dentistry to air polishing systems and piezoelectric devices, these advancements are transforming dental care. The integration of AI and robotics further enhances the precision and outcomes of dental treatments. As these technologies continue to evolve, they promise a future where dental health is more accessible and manageable for all.
Comments